口腔牙齿矫正后需要终身保持吗?
对于许多人来说,牙齿矫正是改善口腔健康与美观的关键一步。从错颌畸形的烦恼中解脱,拥有整齐排列的牙齿和自信迷人的微笑,是无数正畸患者的共同心愿。然而一些患者在寻求正畸治疗时,可能会因医生建议“矫正结束后要终身保持”而心生犹豫,甚至产生退缩之意。什么人需要进行牙齿矫正?矫正后都需要“终身保持”吗?是否要像每天戴眼镜一样,佩戴一辈子保持器?今天,有请北京友谊医院口腔科医生为大家科普关于牙齿矫正的健康知识。

什么是牙齿矫正?
牙齿矫正,也称为正畸治疗,是一种用于纠正牙齿不齐和咬合问题的方法,简单来说就是把不整齐的牙齿变得整齐。一般来说,发现以下七种常见的牙列不齐,需要进行牙齿矫正。
1、牙列拥挤,牙齿排列不齐,比如“虎牙”。
2、牙齿排列稀疏,有缝隙。
3、牙齿前突,俗称“龅牙”。
4、开𬌗
即上下前牙无法咬上。主要表现为上下门牙无法切咬食物、说话漏风、喷口水、嘴巴无法闭紧。
5、反𬌗
即下颌前牙咬到上颌前牙的外面,俗称“地包天”。除美观问题外,还会造成咀嚼、发音等功能障碍。
6、各种原因导致的乳牙早失。乳牙过早缺失可能会导致磨牙前移,咬合关系紊乱,相邻牙齿倾斜等问题。
7、肉眼可见的面部不对称、嘴歪等。
除了以上情况外,如果患者有其他牙齿问题,或者有咬手指、咬嘴唇、咬笔、吐舌、口呼吸、打呼噜等不良习惯等问题,也可以到正畸科咨询。

牙齿矫正后有什么注意事项?
医生大多建议患者矫正结束后再继续佩戴保持器,这主要是因为错合畸形矫治后,牙齿有退回到原始位置的趋势,保持的目的则是防止这种现象的发生。相比于在原位置待了二、三十年的错位牙齿,二、三年的正畸治疗是无法使他们在新的位置上保持稳定的。因此,继续佩戴保持器是防治畸形复发的有效措施。
哪些情况需要长期佩戴保持器?
一般来说,青少年患者是不需要终身保持的,伴有牙周病的成人患者,以及存在以下情况的患者通常需要长期佩戴保持器。
1、散在间隙较多的病例,也就是俗称的“牙缝大”。当间隙关闭后,往往需要进行永久保持,防治间隙再次出现;对于正畸治疗前有缺失牙的患者,间隙关闭后需要及时进行修复治疗。

图1.散在间隙
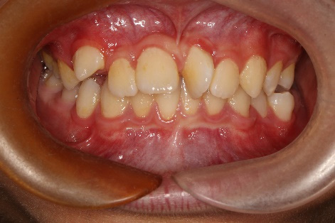
2、 严重扭转牙或唇舌向错位牙矫治后的病例。

图2.严重扭转
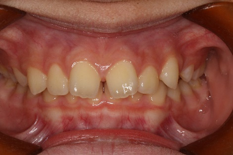
3、上中切牙间隙的病例,也就是俗称的“大门牙有缝”。

图3.中切牙间隙
需要长期佩戴保持器的患者应该怎样做?
矫正结束后第一年,患者需要全天佩戴保持器,即除去吃饭、刷牙时,均需佩戴。
第二年患者可根据情况具体调整,通常为夜间佩戴。
第二年以后,每次复查时医生会根据患者的情况酌情减少佩戴时间。可能改为隔夜佩戴一次,间隔三到五夜佩戴一次,每个月佩戴一次等。
但当出现由于间隔延长,患者戴入保持器感觉特别“紧”的情况,则需要适当地增加佩戴频率。而随着间隔延长,都不会出现“紧”的感觉,说明牙齿们已经适应了新的位置。这时候就可以不用再佩戴保持器了。

图4. 常见保持器类型(A)哈雷式保持器,(B)透明保持器
牙齿矫正后的保持阶段虽然需要一些耐心和坚持,但它对于维护矫正成果至关重要。牙齿矫正后的保持并不可怕,为了拥有整齐的牙齿、健康的咬合,希望大家都能努力坚持,都能早日拥有整齐牙齿,绽放美丽笑容。
作者介绍

口腔科:医师
戴子翔
出诊地点及时间:
顺义院区:周一至周五全天
专长:各类错合畸形的正畸治疗,口腔常见疾病的治疗。

审核专家介绍
口腔科:主任医师
颜兴
出诊地点及时间
顺义院区:周四、周五全天
西城院区:周三全天
专长:口腔颌面外科、种植牙修复、牙槽外科。
- 标签:
上一篇: “世界罕见病日”关注肝脏相关罕见病
下一篇: 检验样本,您留对了吗?

