女性不可忽视的常见肿瘤——子宫肌瘤
医院妇科门诊经常接诊月经量异常增多的患者,在她们的超声检查结果中,不少会显示子宫表面存在结节,也正是这些结节导致了患者月经期间的大量出血。这种出现在子宫表面的结节,就是在女性中发病率很高的子宫肌瘤。今天,北京友谊医院妇产生殖中心专家为大家介绍这一常见的妇科良性肿瘤——子宫肌瘤,帮助女性朋友们更好地认识和应对这一健康问题,更好地守护身体健康。

什么是子宫肌瘤?
子宫肌瘤是女性生殖器官中最常见的一种良性肿瘤,由子宫肌层的平滑肌细胞增生而成,因此又被称为平滑肌瘤。有50%至60%的女性可能会患上子宫肌瘤,大于50岁女性的患病率甚至可高达70%。
当子宫肌瘤需要手术时,它的分型是评估适合哪种手术方式的标准之一。根据其与子宫壁的关系可大致分为三类:粘膜下肌瘤、肌壁间肌瘤和浆膜下肌瘤。

子宫肌瘤的临床表现
大多数子宫肌瘤是无症状的,大概30%~40%的患者可表现出不同症状,这些取决于肌瘤的部位与大小。常见的表现为异常的子宫出血,包括月经量增多。较大的肌瘤会产生压迫症状,如尿频、尿急、便秘、里急后重。甚至会导致不孕和产科并发症的发生。粘膜下和肌壁间的肌瘤,更易导致不孕的结局。
子宫肌瘤的诊断
1、盆腔检查:通过妇科双合诊、三合诊检查,可扪及增大的子宫及肿物。
2、妇科超声:常见的是经阴道超声(适合有性生活的患者)和经腹壁超声(适合无性生活的患者)。妇科超声可以帮助医生迅速明确肌瘤的大小,数目及位置。因其不用麻醉、费用少、使用广等优点,被认为是诊断子宫肌瘤的简便而有效的方法。
3、宫腔镜检查:宫腔镜可直接观察子宫形态,有助于对粘膜下肌瘤和较大的子宫内膜息肉进行鉴别。对于出现异常子宫出血或具有子宫内膜增生高危因素(如肥胖、长期停止排卵)的女性,需同时加做子宫内膜活检病理检查。
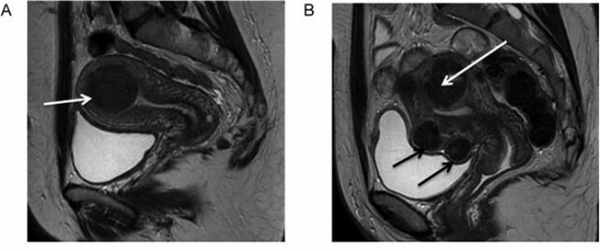
4、磁共振成像:磁共振成像(MRI)可对子宫肌瘤进行精确的定位,有助于了解肿瘤的大小,与宫腔、黏膜、肌层的关系,评估子宫和肿瘤的血管供应。

磁共振成像 T2 加权像子宫肌瘤图像,箭头所示为肌瘤
子宫肌瘤的手术治疗
手术治疗仍是子宫肌瘤的主要治疗方式,选择何种治疗方式取决于患者的年龄、生育要求等。
1、宫腔镜子宫肌瘤剔除术:宫腔镜肌瘤切除是治疗黏膜下肌瘤的最佳手术方式。
2、腹腔镜子宫肌瘤剔除术:腹腔镜为微创手术,因其具有术后恢复快、伤口小、住院时间短的优点,已成为目前首选手术方式。但腹腔镜不适用于特别大的肌壁间肌瘤及较多发的肌瘤。
3、开腹子宫肌瘤剔除术:对于年轻患者的特别大的肌壁间肌瘤及较多发肌瘤,开腹子宫肌瘤剔除术是优选。

开腹子宫肌瘤剔除术剔除之子宫肌瘤
4、腹腔镜子宫切除术:腹腔镜子宫切除术在近十年已经逐步替代开腹手术,尤其适用于绝经前期无生育要求的女性,但对于子宫过大的患者应慎重考虑。
5、开腹子宫切除术:对于子宫过大患者,多次手术史,盆腹腔粘连严重患者,经典的开腹子宫切除术仍是较好的选择。
除了经典的手术治疗方式,目前还有其他药物治疗和新型的手术治疗方式。
面对子宫肌瘤,患者不必恐慌。一旦发现相关症状或疑似情况,建议尽早到医院接受检查与治疗,早诊早治,早日恢复健康。
作者介绍

妇产生殖中心妇科:主任医师
郝敏
出诊地点与时间:
妇科专家门诊
顺义院区:周一上午、周三全天、周五上午
妇科国疗专家门诊
顺义院区:周一下午,周五下午
专长:子宫肌瘤、卵巢囊肿,宫颈疾病、妇科恶性肿瘤尤其子宫内膜癌诊治、子宫内膜非典型增生/子宫内膜癌保育治疗。
- 标签:
上一篇: 脑卒中为何总爱与“寒”为伴
下一篇: 告别“春节肥”,抓住减肥黄金期

