子宫肌瘤微波消融 小创口解决“大问题”
子宫肌瘤是子宫平滑肌组织增生而形成的良性肿瘤,是女性最常见的良性肿瘤之一,多见于30-50岁女性。子宫肌瘤患者可能会出现疼痛、月经不规律、白带异常、贫血乃至不孕等症状,需要积极采取治疗措施。子宫肌瘤微波消融治疗术就是一种常用的治疗方法,可通过高频电磁波产生的热量来消融肌瘤组织。今天,就让我们借助患者张女士的治疗经历,深入了解关于子宫肌瘤微波消融治疗的相关知识,以帮助子宫肌瘤患者更好地选择治疗方案,走向康复之路。

45岁的张女士最近遇到了一些烦心事。她发现自己经常有憋尿困难的情况,甚至刚上完厕所没多久又想去。月经量也明显增多,有时候一个周期下来让她感到疲惫不堪。经过检查,张女士被诊断为子宫肌瘤,医生建议她尽快接受手术治疗。
张女士来到北京友谊医院就诊。通过超声和磁共振检查,超声医学科史宪全主任医师发现,张女士的子宫肌瘤位于子宫前壁,压迫到膀胱,导致她憋尿困难,肌瘤的大小约为6厘米,也是导致她月经量增加的可能原因。“您的情况非常适合微波消融手术,手术过程简单,效果也很不错。”史宪全详细分析了张女士的病情,并向她介绍:“微波消融就像是用‘热能’精准打击子宫肌瘤的‘定点爆破’。我们会用一根很细的针,把微波能量精准地送到肌瘤里,定点加热让肌瘤坏死,之后它会被身体慢慢吸收或变成纤维组织。”张女士听后,既放心又好奇:“这么神奇,那手术是不是很复杂?”史宪全回答道:“不用开刀,只需要一个小针眼即可!”在详细了解过微波消融手术后,张女士决定尝试采用该治疗方案。
手术当天,张女士接受了局部麻醉。史宪全在超声引导下,将微波消融针精确插入肌瘤中心,开始消融。整个手术过程不到40分钟,张女士几乎没有感到疼痛。手术进行得十分顺利,张女士在医院休息观察了一天就回家了。术后三个月后的复查显示,肌瘤已经显著缩小,张女士的症状基本消失,她高兴地说:“真没想到治疗后症状这么快好转,感觉整个人轻松了很多。”

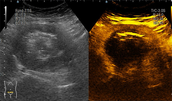
消融前,造影剂可以流入肌瘤内部,肌瘤被“点亮”

消融后,造影剂不再能流入,肌瘤呈“黑洞”
微波消融有何特点?
微波消融适合像张女士这样的症状明显、但肌瘤位置可控、身体条件良好的患者。微波消融治疗有如下几个特点:
创伤小,恢复快:只有一个小针眼,术后恢复非常快,几乎不影响日常生活。
保留子宫:对希望保留子宫,计划生育的女性十分友好。
改善症状显著:在张女士的案例中,治疗后,患者的憋尿困难和月经量过多的问题均得到有效解决。
如果患者肌瘤过大或者数量太多,医生会根据具体情况调整治疗方案。
微波消融安全吗?
很多患者可能有这样的担心:“用‘热’处理肌瘤,会不会影响其他部分的健康?”事实上,微波消融非常安全,手术在直视下进行,精准打击肌瘤。同时,子宫肌瘤的假包膜会将热量聚集在肌瘤内,基本不会对正常子宫组织造成伤害。术后可能有轻微胀痛或发热,这些情况也会很快消失。
张女士的经历告诉我们,子宫肌瘤并不可怕,选择合适的治疗方法,完全可以轻松摆脱它带来的烦恼。如果您也有类似憋尿困难、月经量多等症状,不妨像张女士一样,尽早去医院检查。专业医生会根据患者的具体情况,选择最适合的治疗方式,帮助患者找回健康。
子宫肌瘤微波消融治疗
相关门诊出诊信息
超声门诊(普通门诊)
通州院区:周一、周三全天,周五下午
超声门诊(专家门诊)
通州院区:周二、周四上午
作者介绍

超声医学科:主任医师
史宪全
出诊地点及时间:
通州院区:周二、周四上午
专长:前列腺增生、甲状腺、乳腺结节、子宫肌瘤/腺肌症、肝癌介入超声诊疗。

超声医学科:主治医师
杨宇
专长:子宫肌瘤/腺肌症、甲状腺结节介入超声诊疗。
- 标签:
上一篇: 面对流感,孕产妇应该如何进行健康防护?
下一篇: HPV感染与宫颈癌变 科学防治 共享健康

