全面消除麻风危害,促进社会文明进步
2024年1月28日是第71届“世界防治麻风病日”暨第37届“中国麻风节”,今年世界防治麻风病日活动的主题为“全面消除麻风危害,促进社会文明进步”。让我们在世界防治麻风病日到来之际,同北京友谊医院北京热带医学研究所主任技师温艳、助理研究员刘健一起来聊聊麻风病相关健康知识。
麻风病到底是怎样的一种疾病?
麻风病被认为是世界上非常古老的瘟疫,几乎和人类文明同步。迄今为止,麻风病有记录的记载就有3000多年。从中国到印度,到欧洲,到处都有麻风病肆虐的记录和回忆,可以说它是一个世界性的疾病。
在过去,普通人一旦得了麻风病,就会被视为洪水野兽。甚至很可能被驱逐,或隔离在一些人迹罕至的地方,自生自灭。不同于流感、痢疾的急性传染,麻风病的痛苦往往可持续数十年。即使有些地方会提供食物和药品,可他们的生存环境也是格外艰难的。这些麻风病人面临的不仅是身体的伤痛,更要面对的是人性的冷漠和残酷。而随着麻风病诊疗技术的进步,这种情况已经一去不复返
。
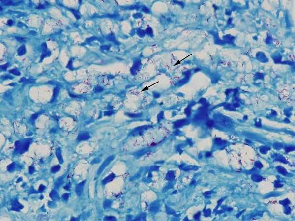
麻风患者皮肤组织病理抗酸染色图片(1000X),图中红色的菌团就是麻风菌。
现在世界上和我国还有麻风病吗?
全世界每年有20万麻风病新发患者,中国2022年新发304例,在全世界排29位。
麻风病和其他常见的传染病有什么不同呢?
麻风病是由麻风杆菌引起的一种慢性传染性疾病,是我国法定的丙类传染病之一,主要侵犯人体的皮肤、粘膜、周围神经及淋巴等。如不早发现、早治疗,可造成眼、手、足的畸残。
1. 其他传染病症状单一,麻风是一个疾病谱,是一个根据人的免疫状态,和细菌相互作用的一个疾病谱。由于潜伏期很长,麻风杆菌进入机体后是否发病以及发病后的过程和表现,主要取决于被感染者的抵抗力,也就是机体的免疫状态。麻风有传染性,但大多数成人对该病有抵抗力。
2. 由于麻风病的皮损呈多种形态,在诊断的时候容易与各种皮肤病及各类神经炎混淆。
3. 无法感觉温度变化,也无法感受疼痛,容易忽视,导致经常烫伤、扭伤。
麻风病具体有哪些症状?
麻风病的主要症状分皮肤及周围神经两方面。
在皮肤方面的表现:一般是先在面部、四肢或躯干发生一块或几块圆形的红斑或淡红色斑,象“癣”而不痒,红斑麻木且不出汗。有的病人整个面部可发生弥漫性潮红,似“酒醉”样,眉毛可脱落,甚至脱光。
神经方面的损害:表现为受侵犯神经的粗大、疼痛等,手、足皮肤麻木,浅感觉丧失(失去触觉、痛觉、温度觉)进而发生手指变曲及足垂、嘴歪等。

麻风病患者的手
麻风病怎么诊断,有诊断的金标准吗?
麻风的诊断分为临床诊断和实验室诊断,临床诊断有麻木,斑块,神经粗大等等,实验室诊断包括皮肤切刮组织液,病理检查,此外还有抗体,T细胞和PCR等,金标准是抗酸染色后在显微镜下看到完整的红色杆菌。

麻风特异抗体快速检测试纸条
万一得了麻风病,可以治愈吗?
麻风病是完全能治好的。早期规范治疗可完全治愈麻风病,早诊早治可避免畸形,只要服1周药后,基本上就失去传染性,治疗半年或1年即可完成疗程并治愈。麻风病人可以在门诊或自家接受全程规则的“联合化疗”,治疗期间不需隔离,可以边治疗、边工作、边学习。

麻风病治疗药物
如果怀疑自己得了麻风病怎么办?
自己怀疑得麻风病一般是从网上和文学刊物或者图书馆翻看专业书所致,由于麻风病历史上一直受到歧视,大多数人既担心又有点恐惧。
1. 首先不要有顾虑,麻风病目前已经完全可以治愈,越早治疗效果越好,没有任何后遗症;麻风病一般不致命,但会损害神经且不可逆。
2. 麻风病免费诊治,在北京就来友谊医院,在其他地区可以联系当地疾病控制中心或者综合性医院皮肤科。
3. 麻风病专科医生根据您的病情分析,包括临床和实验室检查,最后诊断。
听说北京友谊医院北京热带医学研究所有麻风病专科门诊?
北京热带医学研究所是中国成立最早、北方地区唯一的热带医学研究所,创建于1978年,首任所长为我国著名热带病专家、北京友谊医院首任院长、钟惠澜院士,老一辈革命家、领导人叶剑英亲笔为研究所提名。现任所长是辛有清。
热研所内设寄生虫病研究室、麻风病研究室、微生物研究室、临床部和临检中心5个科室。

北京热带医学研究所
热带病包括各种寄生虫病、麻风病、免疫功能低下病人的机会性感染、少见、罕见的感染性疾病以及某些新发现的感染性疾病。世界卫生组织重点研究的6大热带病有疟疾、血吸虫病、丝虫病、锥虫病、利什曼病、麻风病。这些疾病广泛分布于热带、亚热带及温带地区。
麻风病研究室是世界著名麻风病防治专家李桓英教授亲手创办的,数十年来,热研所承担我市麻风病防治工作。友谊医院麻风室每周三下午有麻风病专科门诊,麻风病患者可以在该时间前来就诊。

世界著名麻风病防治专家、首都医科大学附属北京友谊医院、北京热带医学研究所研究员李桓英同志。
出国旅游如何防控麻风病?出海玩和麻风病有关系吗?
出国旅游不需要防治麻风病,麻风病是一个慢性传染性疾病,正常人有足够的免疫力,麻风病人打个喷嚏,不会很容易被感染;出海玩和麻风病没有关系,沿海地区的麻风病发病率远比内地低很多。
作者介绍

北京热带医学研究所:主任技师
温艳
专长:擅长将免疫学、分子生物学先进实验室技术应用于麻风病的早期诊断。曾获北京市科技进步奖5项。

北京热带医学研究所:助理研究员
刘健
出诊地点:西城院区
出诊时间:周三下午
专长:麻风病的诊断,治疗,并发症,康复,Mogilis disease(疑病症),疟疾,儿童寄生虫病,各种热带病。
- 标签:

