浅谈“足跟痛”
暑假到了,很多家庭都有出行的打算,然而如果有家庭成员在出发前发生了“足跟痛”,可能会导致行走困难,让出行计划泡汤。足底筋膜炎、跟腱炎等都是导致足跟痛的常见原因。得了足底筋膜炎怎么办?出现跟腱炎该如何缓解症状?今天,北京友谊医院骨科中心副主任医师刁乃成来一一为您解答。
足跟痛,顾名思义是指发生在足底,足跟两侧,足跟上方等区域的疼痛,简单理解就是发生在足跟区域的疼痛。足跟痛可以是骨质的病变,也可以是周围软组织的病变,包括神经的病变。足跟痛在中老年人群中发病率较高,近几年在年轻的人群中发病率逐渐升高。
足跟痛并不是一种单一的疾病,它是一个较为笼统的概念。引发足跟痛的常见原因,一个是足底筋膜炎,能够占到足跟痛的70到80%。还有一种就是跟腱炎,中老年人群或者体育运动比较多的人群中发病较多。此外,跟骨疲劳骨折、足底神经卡压、类风湿、痛风等都可能导致足跟痛。
足底筋膜炎
足底筋膜炎也叫跖腱膜炎,通常疼痛发生部位足跟内下方,也是最常见的足跟痛的原因。跖腱膜是足底的重要结构,通过绞盘机制维持足弓,所受应力较大,易受损。
足底筋膜炎可合并平足出现,多数人合并小腿后方腓肠肌紧张的情况,可出现在长期站立或者运动人群,也可出现在不运动的人群。X光片显示往往伴随跟骨下方骨质增生(出现骨刺)。

临床表现
常常出现晨起或久坐下地足跟下方疼痛,行走后稍有缓解;
长期行走疼痛加重;
足部热浴后可有缓解;
足底内下方可有按压疼痛。
足底筋膜炎治疗
足底筋膜炎的治疗多首选保守治疗,80%以上患者保守治疗效果理想。保守治疗方式包括:物理训练、药物对症、支具、冲击波治疗等。
物理训练:物理训练是最重要的治疗环节,包括踝关节主动背伸训练、足趾抓毛巾训练(训练足内在肌)、弓步训练。大部分患者在4-8周可以取得不错的效果。
药物对症:部分疼痛较重患者可适当应用非甾类消炎止痛药物,包括局部外用和口服,但不建议长期应用。局部激素注射有一定争议,建议慎重使用。
支具:鞋垫辅助治疗可应用于相应有足弓形态改变患者,比如合并平足患者。支具辅助治疗,比如夜间支具,可维持踝关节夜间背伸状态,有一定治疗作用。
冲击波治疗:冲击波治疗一般是常规保守治疗无效情况下可以考虑采用,文献报道治疗有效率在50%-80%之间,但要注意存在出凝血障碍、合并恶性肿瘤、骨骼发育未成熟患者禁用。
手术治疗一般用于保守治疗至少6个月无效的顽固性疼痛患者。手术方式包括腓肠肌松解和跖腱膜部分松解,腓肠肌松解总体有效率80%以上,跖腱膜部分松解文献报道有效率也较高,但对于合并平足患者慎用。
跟腱炎
跟腱是位于小腿后方的粗大坚韧的肌腱,由腓肠肌的肌腱和比目鱼肌的肌腱向下延伸汇合而成,止于跟骨。跟腱的跟骨止点区域是产生病变的常见部位。大部分跟腱炎的发生是由于跟腱受到反复牵拉,以及剧烈运动造成跟腱疲劳损伤形成,尤其在一些田径、跳高等运动员包括一些球类爱好着身上容易发病。
临床表现
● 大部分表现为跟腱止点区域压痛,局部膨大隆起;
● X光片可以看到跟腱止点区域骨质增生,跟腱内钙化;

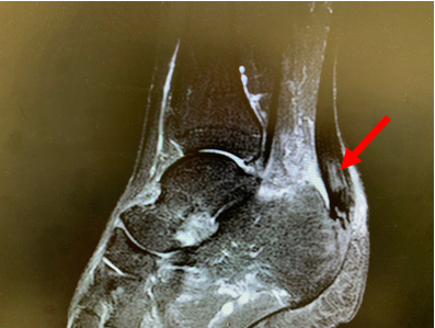
● 核磁共振可以表现为跟腱增厚增粗,局部信号改变。

跟腱炎治疗
轻度跟腱炎可以采用保守治疗,包括腓肠肌拉伸训练、理疗、矫形鞋垫或者矫形鞋、药物对症,尽量避免局部激素注射、减少剧烈运动。
经保守治疗无效患者可考虑手术治疗,包括腓肠肌松解、跟腱止点重建、钙化灶清理。
专家介绍
骨科中心:副主任医师

刁乃成
出诊地点:通州院区
出诊时间:周二下午、周四上午
专长:擅长人工关节置换、骨关节炎治疗、拇外翻、平足、踝关节相关疾病的治疗。
- 标签:
上一篇: 蜱虫叮咬危险大,出游旅行请注意防范
下一篇: 感染了幽门螺杆菌必须根除?两类人需慎重

