世界防治麻风病日|这个在我国流行2000多年的慢性传染病,你了解多少?
今天是第70届“世界防治麻风病日”暨第36届“中国麻风节”,在这个特殊的日子,让我们一起关注麻风病,了解麻风病:
麻风病是由麻风分支杆菌引起的慢性感染性疾病,主要感染皮肤、外周神经、眼等器官。1873年2月28日,挪威科学家汉森在麻风患者的淋巴结中发现麻风分枝杆菌,因此,麻风病也称为汉森氏病。

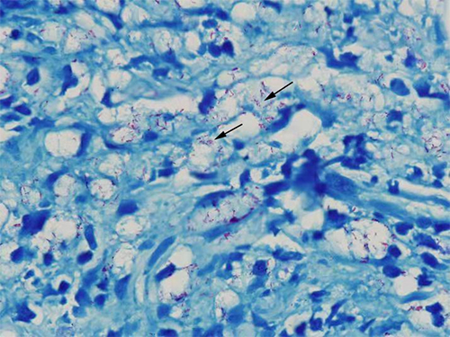
麻风患者皮肤组织病理抗酸染色图片(1000X),图中红色的菌团就是麻风菌
麻风病临床表现为麻木性皮肤损害、神经粗大,严重者甚至肢端残废。麻风病在世界上流行甚广,在全世界普及多药联合治疗前,全世界每年新发一百万人,2005后稳定在20万人左右。麻风病在我国流行于广东、广西、四川、云南以及青海等地。建国前大约有100万患者,建国后在积极防治下,麻风病已得到有效的控制,发病率显著下降,80年代稳定在每年发病4700人。北京友谊医院、北京热带医学研究所研究员李桓英教授在全国推进WHO(世界卫生组织)的短程联合化疗,麻风新发患者在80年代末稳定在2000人左右,近5年新发患者稳定在400人-600人左右。
麻风分枝杆菌致病力不强,多数健康人对其有抵抗力,故受染者多而发病者少。麻风分枝杆菌为细胞内寄生菌,故其发病更多与细胞免疫有关。机体对麻风分枝杆菌及其抗原物质的免疫状态及反应的不同,直接反映到发病后组织中的细菌状态、免疫病理改变和患者的临床表现上。
一般麻风患者的体液免疫基本正常,能产生麻风抗体,但此种抗体不具有抗感染作用。瘤型麻风患者还可产生过量的麻风抗体。由于此抗体相应的抗原含有的主要成分为磷脂,与人体组织细胞中的磷脂成分具共同抗原性,成为引起临床麻风性结节红斑反应时,出现的皮肤、关节、神经损害的基本原因。相反,麻风患者的细胞免疫常有不同程度的缺陷。根据其缺陷的程度,在临床发病上表现为类似光谱一样的连续变化疾病谱。如细胞免疫功能极度低下,对麻风分枝杆菌缺乏免疫反应,病理表现广泛的皮肤损害并含有大量生长繁殖的麻风杆菌,即为临床的瘤型麻风病理特点。如细胞免疫损伤仅轻到中度,对麻风杆菌尚有足够的免疫反应,则临床表现为皮损局限但较明显,组织中少菌或无菌,伴有局限而明显的周围神经炎,则为临床另一极端的结核样型麻风的特点。在这两种极端型之间,尚有几种居间的连续变化形式存在。两个极端的患者通常较稳定,而中间类型可因机体免疫状态改变或病情变化向两个极端方向演变。早期未定类麻风患者一部分可自愈,多数逐渐向其他各种临床类型转变。
麻风病诊断需要临床检查和实验室诊断,实验室诊断包括组织液查菌和病理以及抗体检测和分子生物学检测PCR等,这些技术现在已经得到广泛应用。
近年来,北京热带医学研究所麻风室大力发展麻风病早期诊断技术,建立新技术、新方法。目前研究所开展的麻风病早期诊断技术包括:基于麻风菌DNA特异基因片段的PCR检测技术和Real timePCR检测技术;基于麻风菌特异抗原的血清ELISA检测技术和全血胶体金检测技术等。麻风病早期诊断有助于消除传染源,切断传播途径,预防和减少畸残。

麻风特异抗体快速检测试纸条
现在,即使得了麻风病也不用恐慌,麻风病是可以治愈的。当前麻风病是社会防治,患者可以居家接受全程免费的“联合化疗”,多菌型病人联合化疗1年、少菌型病人联合化疗6个月就可以完成治疗。病人治疗期间能过正常生活,可以边治疗、边工作、边学习。

麻风病治疗药物
北京友谊医院北京热带医学研究所是北京市唯一的麻风病诊疗机构,每周三下午有麻风病专科门诊。我国对麻风病的诊断和治疗实行免费政策,如发现有麻风病相关症状,请尽快到北京热带医学研究所就诊。
作者介绍
热研所:副主任医师
刘健

出诊时间:周三下午
出诊地点:西城院区
专长: 麻风病的诊断,治疗,并发症,康复,Mogilis disease(疑病症),疟疾,儿童寄生虫病,各种热带病。
- 标签:
上一篇: 冠脉介入手术是在您“心里”放了什么?
下一篇: 糖尿病的营养治疗及误区

