糖尿病视网膜病变该如何防治?
糖尿病视网膜病变
糖尿病视网膜病变是糖尿病最为严重的并发症之一,约1/3的糖尿病患者有不同程度的眼底病变。伴随糖尿病患者寿命的延长及全身状况的有效控制,糖尿病视网膜病变的发病率及致盲率呈现明显增长趋势。早期糖尿病视网膜病变一般不影响视力,患者难以自我察觉;当患者自觉视力下降,来眼科门诊就诊时,病变往往已处于晚期了,再进行治疗也只能维持现状,难以逆转。糖尿病患者要如何进行眼病管理?糖尿病患者应该在何时到眼科接受治疗?哪些治疗方法最有效果?请听北京友谊医院眼科专家进行讲解。
01、糖尿病患者如何管理眼病呢?
糖尿病视网膜病变发展到晚期,患者的视力受损严重,治疗费用高、成本大。可惜可叹的是,此时医生已回天乏术,相当一部分患者的视力改善有限,难以逆转,治疗只是阻止视力进一步下降,维持现状而已。所以糖尿病视网膜病变的预防及早期治疗非常重要,强烈建议糖尿病患者要定期检测眼底。
建议初诊的2型糖尿病患者以及5年以上病程的1型糖尿病患者,每年到眼科门诊进行散瞳查眼底。根据糖尿病视网膜病变严重程度,定期复查的时间有所不同。糖尿病患者应当像定期检测血糖及血红蛋白一样,定期检测眼底变化,希望在病变未出现之前或者病变早期引起足够的重视。糖尿病患者如果可以及时发现视网膜病变并且获得规范的治疗,多数患者可以摆脱失明的危险。
02、发展什么阶段需要进行眼科治疗?
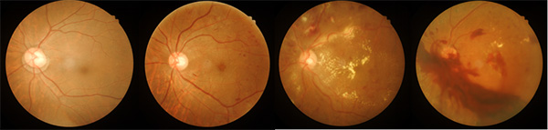
糖尿病视网膜病变早期表现:糖尿病人长时间血液内的高血糖水平,导致视网膜血管出现损害,血管内物质容易溢出,出现视网膜出血及渗出等,如这个阶段不影响视力,患者往往没有自觉症状,对生活及工作影响不大。处于这个阶段的患者眼部往往不需要治疗,需要患者严格控制血糖水平以及定期眼科门诊复查。无视网膜病变到有视网膜病变,是一个量变到质变的过程,一旦出现眼底病变,糖尿病患者需要更好地控制血糖,以延缓糖尿病视网膜病变进展,避免有生之年的视力进展到影响生活的地步。
糖尿病视网膜病变晚期表现:随着糖尿病病程延长,视网膜病变进展到视网膜血管大量闭塞,导致视网膜缺血缺氧,进而形成管壁不完整的新生血管,新生血管容易造成反复视网膜前出血、玻璃体出血,进而导致视网膜增殖膜形成、牵拉视网膜脱离等,这也是糖尿病视网膜病变致盲的常见原因。也许有个体差异使然,也有患者即使血糖控制得很好,病情依然进展很快。冰冻三尺非一日之寒,进入到这个阶段,就需要进行眼部治疗干预了,需要眼底激光或者手术治疗。

糖尿病视网膜病变进展
03、什么是眼底激光治疗?
眼底激光作为糖尿病视网膜病变明确有效的治疗方法,在治疗史上已经使用了50多年了。激光治疗可使50-60%的糖尿病视网膜病变停止进展,依然有40-50%的患者仍然进展。激光治疗属于破坏性治疗,是利用激光效应,使受激光照射的周边部视网膜破坏,使其失去功能,从而减少视网膜的需氧量,改善视网膜营养和氧气的供需不平衡,以确保中心视网膜关键部位结构的功能完整,所谓的丢車保帅之举,以期望保留患者的有用视力。一般来说,全视网膜激光光凝会分3-4次做完,在定期复查的过程中可能要进行补充激光的治疗。所以激光治疗后依然要定期复查眼底。
04、什么时候进行手术治疗?
如果患者伴有影响视力的眼底黄斑水肿,需要进行抗VEGF眼内注药术(玻璃体腔注药术),以改善黄斑水肿状况,提高视力;如果视网膜病变发展到晚期,长时间不吸收的玻璃体出血或视网膜有增殖牵拉视网膜脱离,影响中心视力,必须手术治疗。手术目的是将清除玻璃体积血,剥除增殖膜,复位视网膜,术中同时需要完成视网膜激光光凝治疗。
总之,糖尿病患者一旦糖尿病视网膜病变到了晚期,将耗费较多的时间、精力以及金钱,仍有些患者病程进展,视力提高不如愿。所以,再次强调:糖尿病患者要控制血糖,定期检查眼底,以期望能够早期预防、早期治疗,避免晚期糖尿病视网膜病变的出现。
作者介绍

眼科:副主任医师
杨秀芬
出诊地点:西城院区
出诊时间:周一、周四、周五全天
专长:葡萄膜炎、白内障、糖尿病相关眼病、眼底激光治疗、黄斑疾病等疾病的诊疗。

眼科:主任医师
黄映湘
出诊地点:西城院区
出诊时间:周一全天
专长:黄斑疾病、白内障、眼底病糖尿病相关眼病、玻璃体视网膜手术。
- 标签:
上一篇: 慢性牙周炎患者能做牙齿矫正吗?
下一篇: 春捂”——你知道多少?

